我院肿瘤血液科成功开展渝东南地区首例肺部肿瘤氩氦刀冷冻消融术
近日,我院肿瘤血液科成功开展渝东南地区首例肺部肿瘤氩氦刀冷冻消融术,这标志着我院肿瘤综合治疗又迈上一个新的平台。
患者冉先生今年65岁,不久前被诊断为肺癌Ⅲa期,一直以来他都不愿接受传统手术的治疗,他对医生讲道:“希望有一种不需要人照护,手术后就可以像手术前一样状态的治疗方法”,经医院肺癌多学科会诊(MDT)讨论,结合冉先生的具体情况和个人选择,决定为他行右肺肿瘤氩氦刀冷冻消融术联合全身治疗。术前,肿瘤科微创介入团队认真研究氩氦刀冷冻消融围手术期管理,制定详细的风险预案;术中,冉先生在局部麻醉后全程清醒配合,按计划接受了肿瘤完全消融治疗,过程十分顺利,没有感到疼痛、咳嗽、胸闷等不适。术后第2天,冉先生自行下床活动,也没有特殊不适,他对科室医护团队的治疗和护理表示特别满意和感谢。

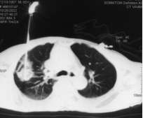
术前患者CT(肺窗) 术中精心治疗

术中肿瘤完全消融,形成椭圆型“冰球”
氩氦刀其实并不是一把“刀”,而是一根直径1.7毫米、约一根铅笔芯粗细的“针”。冷冻消融技术是将消融针精准地刺入肿瘤内部,启动氩气制冷,约10秒快速冷冻肿瘤组织达-150℃左右形成“冰球”,再启动氦气升温,使温度从超低温上升至20℃左右,通过冷冻-复温-冷冻-复温循环,彻底破坏肿瘤组织,让肿瘤完全灭活,慢慢缩小、消失。
氩氦刀冷冻消融是一种肿瘤微创治疗新技术,不开刀,局部麻醉,全程清醒,术后恢复快,术后2天左右可以出院,适合一些拒绝和不适合手术、身体基础条件较差的患者。
肿瘤血液科负责人张厚云主任讲到“这项技术在重庆目前只有极少数市级三甲医院有开展,我们算是“吃螃蟹”的人之一,对我们的患者而言,这无疑是个好消息。”此次氩氦刀冷冻消融术的成功开展,再次展现了我院肿瘤微创团队娴熟的穿刺技术和丰富的介入治疗经验,该团队将一如既往地努力,把冷冻消融技术的开展与射频消融、化学消融、放射性粒子植入、血管介入、靶免治疗等综合治疗手段相结合,形成全方位综合治疗体系,让区域内患者在我院能享受到优质的肿瘤综合治疗服务,让生命拥有更多温暖。
和谐 精业 笃行 创新 电话:023- 78488154