职业卫生| 院长信箱 加入收藏
医院新闻

我院多学科协作成功切除巨大卵巢肿瘤

发布日期:2021-07-30    浏览次数:    作者:

我院多学科协作成功切除巨大卵巢肿瘤

近日,我院妇科团队与麻醉科、心内科联合协作,成功为一名70岁老年女性患者切除巨大卵巢肿瘤,手术过程顺利,术后恢复良好,顺利出院。

病例回顾

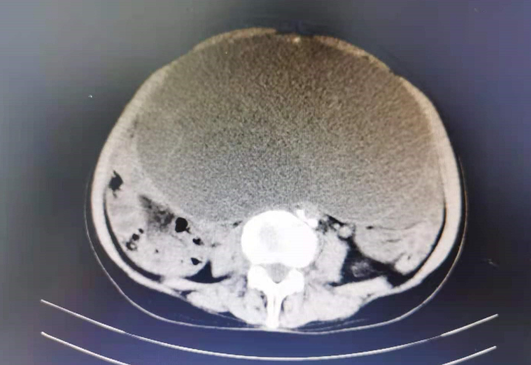
患者高妈妈,今年70岁,因“发现腹部包块伴胀痛2月”来到彭水县医院外三科住院治疗。完善检查后,发现高妈妈的情况较为复杂,患者70岁高龄,腹盆腔巨大肿瘤,同时合并左肾囊肿;肝脏多发钙化灶;冠状动脉硬化;肺炎间质性改变……鉴于此,特请妇科会诊,山东支医专家张丽丽副主任医师和本院高琼主治医师接到会诊后立即前往病房,对患者行综合评估后,考虑卵巢肿瘤可能性大,遂转入妇科继续治疗。

腹盆腔巨大肿瘤若不处理,将会导致呼吸、消化、循环功能衰竭,患者腹部胀痛明显,需要尽快手术治疗,考虑到手术及麻醉风险非常大,妇产科组织心内科、麻醉科、ICU等相关科室一起进行多学科讨论。经过充分的讨论和周密的安排,在与高妈妈和家属沟通交待了病情后,张丽丽副主任医师和妇科医师团队为高妈妈制定了手术方案,并对术中、术后各种可能的突发状况进行了详尽的分析,做好了预案及术后康复方案。

转入妇科第3天,高妈妈终于迎来了她的卵巢肿瘤切除手术。手术全程由手术室麻醉科保驾护航,张丽丽主任主刀施术,凭借丰富的手术经验,轻柔娴熟的操作,顺利摘除了高妈妈体内的一重约10+斤、直径约30cm的巨大肿瘤。手术过程顺利,出血量极少。但术中亦有惊险一幕,手术伊始,高妈妈突然出现血压一度升高,心律失常,ST段抬高,考虑有心肌缺血改变,麻醉科医师紧急处理,予以尼卡地平降压,查心肌酶谱及血气分析均无异常,生命体征恢复平稳,术毕,高妈妈于麻醉清醒后安返病房。

术后病理检查证实,高妈妈的卵巢肿瘤是卵巢粘液性囊腺瘤,属于良性肿瘤。经过术后康复治疗和精心的护理,术后第6天,高妈妈开心地出院了。

张丽丽主任讲到,卵巢肿瘤是女性生殖系统常见的肿瘤之一,因病变位于盆腔深部,往往缺乏典型的临床表现,尤其是绝经期女性往往容易忽视妇科检查,导致患有肿瘤而不自知,你以为的“啤酒肚”,有时恰是肿瘤在作祟,卵巢肿瘤易发生恶变、破裂或扭转,建议绝经后女性有腹部不适,腹胀、腹痛、自行扪及腹部包块等应及时到医院就诊,平时应定期体检,有助于早期发现、早期诊断和早期治疗。

为加强鲁渝东西部协作,响应新时代要求,张丽丽作为此次聊城支医专家团的一员来到我院妇产科,对她来说既是锻炼,亦是工作进步的阶梯,她会用更多专业技能和知识来帮助淳朴的彭水县人民,以期促进妇科学科水平的发展。

Baidu
map