7月29日早晨5:30,我院心内科陈元友主任团队成功为一例急性心肌梗死患者植入生物可吸收支架。此例手术是我院首例经皮冠状动脉介入术治疗完成生物可吸收心脏支架植入手术病例,也是渝东南片区首例可吸收支架植入手术。这种新型心脏支架可在术后三年内降解完全吸收,不影响冠状动脉收缩和舒张功能。
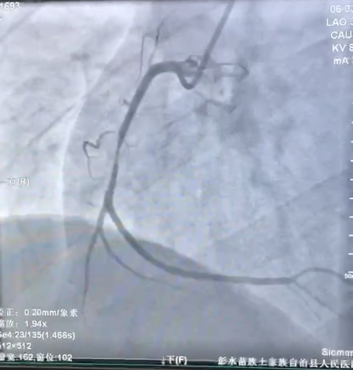
47岁的谢先生因胸痛半月,再发加重3小时,到河豚直播体育app就诊,急诊科张波医师立即行心电图等检查后,考虑急性心肌梗死,经心内科吴玉兰主治医师会诊后立即启动胸痛中心绿色通道,与患者及家属沟通后行急诊冠状动脉介入治疗。通过冠脉造影检查,患者右冠中段次全闭塞,可见血栓影(见图1)。

(图1)
心内科陈元友主任医师和王欣主治医师在认真评估患者的基本情况、病变情况后,认为患者年轻、病变适合植入可吸收支架。王欣医师与患者及家属沟通介绍过生物可吸收支架的特性,通过对支架的进一步了解,患者及家属十分期待并决定尝试这种新型可吸收支架。
此次手术过程历时约40分钟完成支架植入。在陈元友主任指导下,心内科王欣医师操作导丝,顺利将生物可吸收支架精准输送到病变部位,进行释放。最终支架贴壁良好,释放部位准确,患者冠状动脉血管直径立即恢复正常大小,术后患者胸闷症状消失,无不良反应(见图2)。随后医务人员将对患者进行不同阶段、不同情况的心脏康复的随访调查。
此次新型生物可吸收支架在我院成功应用,对于广大冠心病患者,尤其是年轻患者,无疑是一个好消息。这也意味着河豚直播体育app冠状动脉介入术迈上一个新台阶。
可吸收支架小知识
1.什么是可吸收支架?
生物可吸收支架(BVS),是指涂有药物的可溶性支架会随着时间分解然后被人体自然吸收。BVS能抑制血管壁细胞增生的药物涂在可分解性塑料物料而制的支架上,减低血管再次收窄机会,而支架则在植入血管2-3年后消失。研究显示生物可吸收支架治疗效果不劣于传统的聚合物涂层支架。BVS作为冠心病患者的最新方法,特别适合年轻冠心病患者,将为未来的介入手术提供更多的治疗选择。
2.生物可吸收支架与传统支架有什么不用?
目前,临床上99.9%的患者使用的是第三代金属药物洗脱支架,主要材料是钴铬合金、不锈钢,这些材料的支撑性能、柔顺性比较好,可以把血管的狭窄支撑起来,同时能释放抗增殖药物,防止支架里面堵塞,被广泛应用于临床,但是传统支架一旦进入人体将永久存在。生物可吸收支架的材料为聚乳酸,这种新型支架在植入人体后,经过血运重建、支架降解吸收和血管修复三个阶段,在三年内,整个支架就可以完全降解为水和二氧化碳,体内不再有异物,而且血管的结构和功能也得到恢复。所以生物可降解支架时代的开启,也给广大患者带来了更多的选择和机会!
3.哪些患者不适宜使用生物可吸收支架?
生物可吸收支架可用于一般的冠心病患者,但还是有一些病情复杂的冠心病患者不适合,其中包括血管不能很好扩张的患者,患者的血管非常扭曲,也不能使用生物可吸收支架。此外,如果患者血管比较长,就需要多个生物可吸收支架进行连接,这也存在一定的难度和风险,特别对于血管斑块严重钙化的更是不适合使用。年轻患者血管斑块坚硬度不高,成功率很高。