• 首页
  •   >   正文
  • 首页

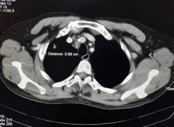
    精准诊断肺肿瘤,一针解除患者忧 ——我院肿瘤血液科完成肺部6.9mm小结节CT引

    发布日期:2021-05-21    浏览次数:

    日前,河豚直播体育app肿瘤血液科肿瘤微创诊疗团队顺利完成1例肺部小结节(6.9mm)CT引导下经皮同轴穿刺精准活检手术,并确诊肺腺癌,EGFR+,19DEL,为患者下步精准治疗提供了依据,使县人民医院在肺癌的早期诊断、早期治疗方面再上一个新的平台。

    据悉,该患者为中年男性,在重庆体检发现肺部小结节,考虑恶性肿瘤,建议进一步检查治疗,患者因在外治疗不方便,拟回彭水诊治。张厚云主任医师查看后告诉患者,肺部小结节,只有6.9mm,纵膈淋巴结肿大,最短径>2cm,要明确诊断最好的方法是做纵膈淋巴结的超声支气管镜(EBUS)活检,经皮肺穿刺活检因病灶太小,呼吸时小结节还会随着呼吸上下移动,穿刺难度大,取材稍微不好,假阴性率高。经患者及家人商量后,不愿去上级医院行EBUS,选择就在彭水行经皮肺穿刺活检手术。看着患者的信任和一家人期待的眼神,张厚云主任医师带领肿瘤微创团队,手术前认真分析,包括如何控制呼吸运动,如何避开血管等,都做了详细预案,最终顺利完成手术并明确诊断。

    据张厚云主任医师介绍,现在无症状体检发现肺部结节患者比较多,这些结节大部分良性的,也有一部分是恶性的,发现后不要过于紧张,也不要到听途说不管它,特别是小于10mm的结节,穿刺难度大,假阴性率高,一定要及时找专科医生评估,很多小结节即使是恶性,早期也是可以治愈的,同时县人民医院肿瘤血液科肿瘤微创诊疗团队在早期肺癌的穿刺活检方面有较深的研究和非富的临床经验,创新无铅丝定位穿刺法,明显减少患者手术等待时间和紧张情绪,已获得国家专利1项,进入实质审查国家专利1项,此项技术也得到了业内专家和患者高度肯定。

    术前病灶测量

    术中精准穿刺

    术后病理及免疫组化:肺腺癌

    基因检测:EGFR+ 19DEL

    ©Copyright   河豚直播体育app   版权所有    渝ICP备10000000号

    Baidu
    map